Οπή Ωχράς Κηλίδας

OCT ΑΤΕΛΟΥΣ ΟΠΗΣ ΩΧΡΑΣ ΚΗΛΙΔΑΣ
Η οπή ωχράς κηλίδας είναι η πάθηση δημιουργίας οπής, ‘τρύπας΄στην ωχρά κηλίδα.
Ωχρά κηλίδα ονομάζεται το κεντρικό τμήμα του αμφιβληστροειδούς, το οποίο έχει διάμετρο μόλις 1,5 mm, αλλά έχει την μεγαλύτερη συγκέντρωση φωτοϋποδοχέων. Αυτό σημαίνει ότι εκεί είναι συγκεντρωμένα τα ευαίσθητα κύτταρα που προσλαμβάνουν το φως και το μετατρέπουν σε εικόνα. Ενώ, πηγαίνοντας προς την περιφέρεια του αμφιβληστροειδούς, αυτά τα κύτταρα μειώνονται σε πυκνότητα και άρα μειώνεται η ευαισθησία στην όραση.
Στην ωχρά κηλίδα οφείλεται το γεγονός ότι η κεντρική όραση μας, όταν κοιτάμε ευθεία, στο διάβασμα, οδήγηση κλπ, είναι άριστη, ενώ στον υπόλοιπο αμφιβληστροειδή προσδίδεται η όραση του περιφερικού οπτικού μας πεδίου.
Η πάθηση αυτή έχει την σταδιακή- ανάλογα με την εξέλιξη της- μείωση και παραμόρφωση της κεντρικής όρασης του ασθενούς. Αυτό σημαίνει ότι ο ασθενής που πάσχει από οπή ωχράς κηλίδας -σε οποιοσδήποτε στάδιο δεν θα χάσει πλήρως την όραση του, δεν θα τυφλωθεί.
Ποια συμπτώματα προκαλεί η οπή ωχράς κηλίδας;
Τα συμπτώματα είναι:
– θολή κεντρικά όραση,
-σκοτεινό σημείο κεντρικά
–διαστρέβλωση των ευθείων γραμμών,
–δυσκολία στην αναγνώριση προσώπων.
–παραμορφοψία, δηλαδή η καμπύλωση των ευθείων γραμμών, η παραμόρφωση ολόκληρων των ειδώλων ή των περιγραμμάτων αυτών είναι χαρακτηριστικά συμπτώματα της πάθησης.
ΔΕΝ είναι επίπονη πάθηση!
Ποια είναι τα αίτια και η παράγοντες κινδύνου;
Οι προδιαθεσικοί παράγοντες για την οπή της ωχράς κηλίδας είναι:
- Η ηλικία – μεγαλύτερη των 60 ετών
- Το φύλο – συχνότερα σε γυναίκες
- Το κάπνισμα
- Η έκθεση στον ήλιο
- Το οικογενειακό ιστορικό – δεν είναι απαραίτητο να υπάρχει και αν υπάρχει δεν είναι σίγουρη η εμφάνιση της πάθησης
Η οπή ωχράς κηλίδας δεν σχετίζεται με συστηματικά νοσήματα και δυστυχώς, δεν υπάρχουν προληπτικά μέτρα. Η πάθηση είναι αμιγώς οφθαλμολογική. Ο ασθενής θα πρέπει να απευθυνθεί εγκαίρως σε έναν οφθαλμίατρο, καθώς η άμεση διάγνωση είναι εξαιρετικής σημασίας για την παρακολούθηση και θεραπεία. Τα ήπια αρχικά συμπτώματα δυστυχώς δεν γίνονται αντιληπτά παρά μόνο σε οφθαλμολογική εξέταση.
Πώς γίνεται η διάγνωση;
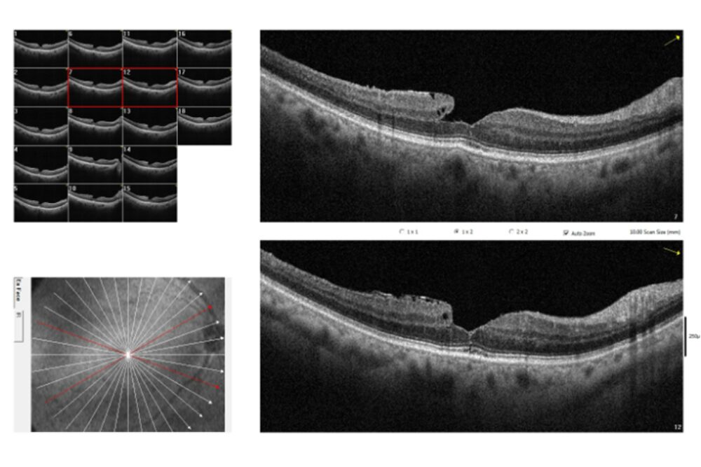
Η διάγνωση τίθεται με βυθοσκόπηση και με Οπτική Τομογραφία Συνοχής του αμφιβληστροειδούς (OCT). Η τελευταία αυτή εξέταση είναι μη επεμβατική και παρέχει εικόνες λεπτομερείς του αμφιβληστροειδή, σε κυτταρικό επίπεδο!
Πώς αντιμετωπίζεται η οπή ωχράς κηλίδας;
Η σταδιοποίηση της οπής της ωχράς κηλίδας καθορίζει και τον τρόπο θεραπείας.
- Στάδιο 1 ή επαπειλούμενη οπή. Μικρή υπέγερση του κατώτερου τμήματος του αμφιβληστροειδούς, στο επίπεδο των φωτοϋποδοχέων και πάχυνση της περιοχής της ωχράς. Στο στάδιο αυτό η παρακολούθηση με βυθοσκόπηση και OCT ανά τακτά χρονικά διαστήματα πρέπει να γίνεται για να αποκλειστεί η περίπτωση της αύξησης της οπής σε μέγεθος. Υπάρχει και η περίπτωση της αυτόματης ίασης. Σε περίπτωση που τα συμπτώματα χρονίζουν αυτόματη ίαση ελαχιστοποιείται.
- Στάδιο 2, στο οποίο υπάρχουν πλέον τα προαναφερθέντα συμπτώματα και η διάμετρος της οπής είναι μικρότερη των 400μm.
- Στάδιο 3 αναφέρεται σε οπή μεγαλύτερη από 400μm
- Στάδιο 4 μεγάλη οπή με συνοδό αποκόλληση υαλοειδούς
Στα στάδια 2 και 3 η βιτρεκτομή (υαλοειδεκτομή) -membrane peeling αποτελεί την θεραπεία εκλογής. Σ αυτήν τη χειρουργική επέμβαση, αφαιρείται όλο το υαλοειδές, που ‘έλκει’ την ωχρά κηλίδα και αντικαθίσταται από ειδικό μείγμα αερίου, το οποίο «ταμπονάρει», «σπρώχνει» τον αμφιβληστροειδή στην σωστή θέση. Κατά συνέπεια, στην άμεση μετεγχειρητική περίοδο της εβδομάδας θα πρέπει ο ασθενής να βρίσκεται σε πρηνή θέση- μπρούμυτα, μέχρι το αέριο να απορροφηθεί και να αντικατασταθεί από το νέο-παραγόμενό υαλοειδές από τον ασθενή. Η αποκατάσταση της όρασης γίνεται σταδιακά σε διάστημα μηνών.
Η τελική όραση εξαρτάται από το στάδιο της διάγνωσης και της επέμβασης, από την προεγχειρητική οπτική οξύτητα και από τον βαθμό της ανατομικής βλάβης των κυττάρων της ωχράς κηλίδας.

Γιατί να επιλέξετε την Χειρουργό Οφθαλμίατρο Άννα Περράκη;
Η Χειρουργός Οφθαλμίατρος Δρ. Άννα Περράκη διαθέτει μακρόχρονη εμπειρία στη διάγνωση και αντιμετώπιση παθήσεων της ωχράς κηλίδας και στη μικροχειρουργική αποκατάστασης προβλημάτων όρασης. Η κλινική της προσέγγιση βασίζεται στην ακρίβεια της διάγνωσης μέσω εξελιγμένων μεθόδων όπως η οπτική τομογραφία συνοχής OCT, αλλά και στην εξατομικευμένη φροντίδα κάθε ασθενούς. Το διεθνές της υπόβαθρο, η συμμετοχή σε ερευνητικά προγράμματα και η διαρκής επιμόρφωση την καθιστούν έμπιστη επιλογή για περιπτώσεις όπως η οπή ωχράς κηλίδας, που απαιτούν άμεση και στοχευμένη αντιμετώπιση.
Η οπή ωχράς κηλίδας είναι μια σοβαρή πάθηση που μπορεί να επηρεάσει σε μαγάλο βαθμό την ποιότητα της κεντρικής όρασης. Γι’ αυτό, η έγκαιρη διάγνωση και η σωστή σταδιοποίηση είναι καθοριστικής σημασίας για την επιτυχή θεραπευτική έκβαση.
Αν παρουσιάζετε συμπτώματα που επηρεάζουν την κεντρική όραση, επικοινωνήστε άμεσα μαζί μας για έγκαιρη διάγνωση και εξατομικευμένη αντιμετώπιση.